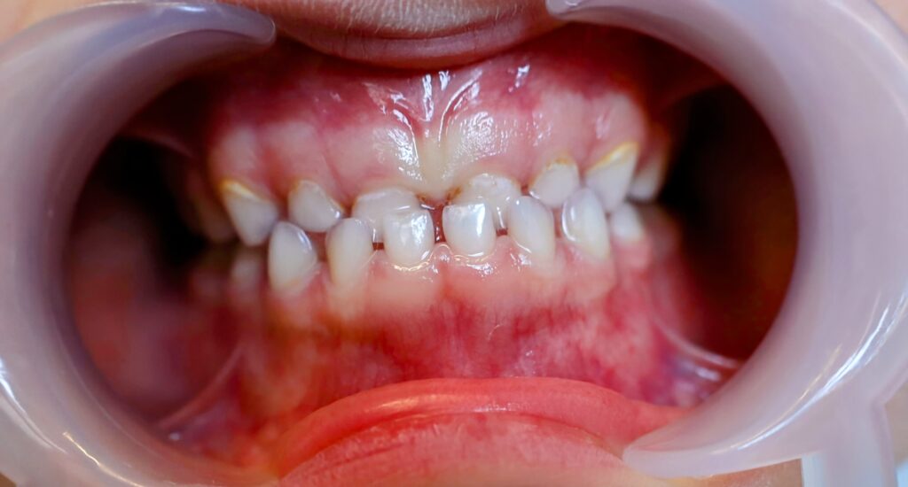
Otwarta buzia – to nie jest norma
Dziecko śpiące z otwarta buzią oraz dziecko, ktore w ciągu dnia ma często otwartą buzię wymaga pomocy od zaraz. Oddychanie jest najważniejszą czynnością dla człowieka. Wykonywane nieprawidłowo, czyli przez usta…
Kiedy leczyc wady zgryzu?

Odpowiedź jest jedna: Jak najszybciej!
Drodzy rodzice nie czekajcie!
Nie ma nic lepszego dla waszych pociech niż wczesna interwencja ortodontyczna.
Najlepiej, najszybciej leczy się dzieci w wieku przedszkolnym. Do 6 roku życia kości twarzoczaszki zostają uformowane w 80%.
Zalety leczenia wczesnego:
Aby to wszystko osiągnąć potrzebna jest praca wielu specjalistów:
Na szczęście w Centrum rozwoju dziecka NEWDENT twoje dziecko objęte jest kompleksową opieką.
Dziecko śpiące z otwarta buzią oraz dziecko, ktore w ciągu dnia ma często otwartą buzię wymaga pomocy od zaraz. Oddychanie jest najważniejszą czynnością dla człowieka. Wykonywane nieprawidłowo, czyli przez usta…
Kiedy leczyc wady zgryzu? Odpowiedź jest jedna: Jak najszybciej! Drodzy rodzice nie czekajcie! Nie ma nic lepszego dla waszych pociech niż wczesna interwencja ortodontyczna. Najlepiej, najszybciej leczy się dzieci w…
Najważniejsza wizyta w całym procesie terapeutycznym. Każde dziecko powinno odwiedzić stomatologa po pojawieniu się pierwszych zębów w jamie ustnej. Wizyta adaptacyjna to wizyta na której bardzo nam zależy. Staramy się…